Dr. Abhik Pyne Blog
Search
+91 9007466754
Enquiry
How a Maxillofacial Surgeon Can Transform Your Oral Health?
Admin
23 April, 2026
Read more
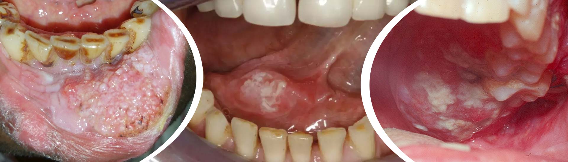
Bad Habit Today Can Make Risk Tomorrow The Reality Of Oral Cancer
Admin
24 March, 2026
Read more
Warning Signs of Mouth Cancer in Men and Women
Admin
20 February, 2026
Read more
Understanding Oral Cancer Stages and Symptoms
Admin
31 January, 2026
Read more
Side Effects of Oral Cancer Treatments and Prequision
Admin
30 December, 2025
Read more
Key Difference between Oral Cancer and Other Mouth Diseases
Admin
27 November, 2025
Read more
Mouth Cancer Explained: A Guide to Detection and Treatment
Admin
31 October, 2025
Read more
How Quitting Smoking Reduce Your Oral Cancer Risk
Admin
26 September, 2025
Read more
Early Signs of Oral Cancer You Should Never Ignore
Admin
29 August, 2025
Read more
The Best Way for Oral Cancer Treatment
Admin
30 July, 2025
Read more
Side Effects Oral Cancer Treatment
Admin
29 June, 2025
Read more
Why Choose Experienced Maxillofacial Surgeon In Kolkata?
Admin
30 May, 2025
Read more
1
2
3
Send Your Enquiry